home
RSS
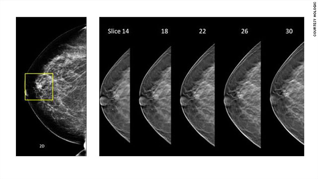
3-D mammogram system approved
February 11th, 2011
06:06 PM ET

3-D mammogram system approved

The U.S. Food and Drug Administration on Friday approved the first 3-D mammography imaging system.

"3-D may find cancers that may hide in dense breast tissue on the standard 2-D images," said  Dr. Stamatia Destounis, spokesperson for RSNA, or Radiological Society of North America and a diagnostic radiologist at Elizabeth Wende Breast Care in New York.

In this type of screening,  images in many thin slices are combined or "stacked" to create a 3-D vision of the breast. The test  is similar to routine 2-D mammography with some compression and some additional radiation that is within the FDA guidelines, Destounis explained.

In studies, radiologists looked at the current two-dimensional images and the three-dimensional images. With 3-D mammograms their ability to differentiate a cancerous tumor from a non-cancerous one improved 7%.

Destounis added that 3-D images provide a view of the "inner architecture" of the breast that sometimes may look suspicious on standard mammograms.

The National Cancer Institute recommends women 40 and over get a mammogram every one to two years.


soundoff (39 Responses)
  1. Christine

    When will this be available...??????? I would fall into the category that would require this......PLEASE HURRY.....If anyone knows, please let me know. Thanks ahead.

    February 11, 2011 at 23:29 | Report abuse | Reply
    • BadPatient

      mammogram missed mine. ultrasound caught it.

      February 14, 2011 at 20:33 | Report abuse |
  2. notation

    Has there been any research that shows this type of mammography results in lower mortality rates for breast cancer? I just read an article that points out that digital mammography is much more expensive than the older technology, but that the results in saving lives are no better. How does this technology rate?

    February 12, 2011 at 15:12 | Report abuse | Reply
  3. Holly Lucille

    I will be recommending 3D mammogram to my clients, 7% may not seem like much but it's 7 more lives saved for every 100 patients referred to this new test, for me that could be up to 5-6 clients per year.

    Holly Lucille
    Certified Naturopathic Physician, Author and Educator.
    Healing menopause and andropause for her clients.
    Founder of the popular, informative, educational & resourceful
    Natura-Pause.com site and author of the
    NaturaPause treatment.

    February 12, 2011 at 22:03 | Report abuse | Reply
    • notation

      But that's not what the 7% refers to. The study says that radiologists' ability to differentiate between cancerous and non-cancerous tumors improved by 7%. It doesn't say that the mortality rate was decreased by 7%.

      Nice try at spamming your practice, though.

      February 13, 2011 at 10:14 | Report abuse |
    • no xrays

      Holly

      As a naturapathic physician, I'm suprised that you would recommend more radiation to your patients. Especially with their recommendation of every 1-2 years after age 40.
      Did everyone forget that xrays cause cancer!!!

      February 14, 2011 at 07:56 | Report abuse |
    • Lotsaluck

      Not that I think Holly Lucille is anything but a charlatan, but what do you propose be used in place of x-rays, dear? Can you tell us how much radiation one is exposed to in a mammogram? How does that compare to the radiation one is exposed to daily just walking around?

      Please. You and Holly are cut from the same cloth. Both of you are equally full of kaka.

      February 14, 2011 at 08:25 | Report abuse |
    • Glorifundel

      re: notation

      "With 3-D mammograms their ability to differentiate a cancerous tumor from a non-cancerous one improved 7%"

      What you say about the article is correct, but your reasoning is improper. You can die from surgery related to cancer treatment, so although it might not translate directly into a 7% reduction in lost lives, it will in the aggregate save a number of lives. It also will reduce patients exposure to additional tests/procedures which might cause serious harm. 7% more accurate is significantly better, and worthwhile.

      re: no xrays

      I don't believe the Original Poster is asking patients to do the standard AND the digital test, I believe the O.P. is stating they would suggest the new test over the old one. Essentially they would be getting similar levels (although maybe slightly higher) as before.

      This blanket statement makes me highly doubt that you are a physician, or even reasonably educated:

      "Did everyone forget that xrays cause cancer!!!"

      This is like saying "Anyone who is exposed to the sun will get a sunburn" And is clearly and completely not true. Certainly if you stay in the sun long enough, especially without protection, you can be sunburned. But moderate exposure to the sun is not only perfectly safe, but actually healthy. Similarly our bodies are constantly being exposed to radiation on a daily basis (your computer for isntance emits radiation, is it then your assertion that everyone should stop using computers because it emits Cancer causing radiation?), the danger of developing cancer is only when you exceed a safe amount (or tolerance).

      I would be very wary of any "naturapathic physician" if this is the sort of garbage/scare tactic information you provide to your patients.

      February 14, 2011 at 08:27 | Report abuse |
    • notation

      The article I read recently was about research that showed that digital mammography did not result in better outcomes for patients and was adding exponentially to the cost of mammograms. I am asking if this new technology is not similarly expensive without providing added benefits. Yes, one can die in surgery for breast cancer. That doesn't mean this technology will result in fewer deaths. Can you prove that it has/will? If not, the added cost to the health care system, particularly Medicare, may not be warranted. I'm not saying it isn't, just that I don't see any evidence from this article that it is.

      February 14, 2011 at 08:39 | Report abuse |
    • doc

      your math is wrong

      February 14, 2011 at 14:27 | Report abuse |
  4. BadPatient

    Did they corrupt the FDA to make it within the guidelines? And NCI to put it in the guidelines. nobody trusts these people anymore.

    February 13, 2011 at 20:55 | Report abuse | Reply
    • Lotsaluck

      Wrong. People like you who love to imagine conspiracy everywhere are the ones who don't trust the FDA to do good research and present the findings. Sane people know that researchers, scientists, and medical doctors who work for the FDA are far better qualified than folks like BadPatient.

      February 14, 2011 at 08:21 | Report abuse |
    • BadPatient

      Wrong. People like me were the guinea pigs for their lies. I, like you, was young and idealistic once. Don't be so easily impressed. These people are not who you think they are. As well intentioned as you are, says nothing about them. And don't be so easily impressed...their research and their products are of questionable integrity...and getting a front organization to put it in the guidelines that we should use their product, machine, whatever...looks dishonest to me.

      February 14, 2011 at 11:56 | Report abuse |
    • Lotsaluck

      I'm not young, and not terribly idealistic, either. I just don't believe alarmists like you are anything but nuts. I know plenty of people who work at the FDA and at NIH; I also know people in pharmaceutical research. Your attempts at painting them as diabolical villains are nothing but silly. They're normal people with normal jobs who go to work every day to do the best they can, just like anyone else. Stop acting like Chicken Little. There's no shooter on the grassy knoll and there are no alien bodies in Area 51, either.

      February 14, 2011 at 12:18 | Report abuse |
    • BadPatient

      It's not who you know. It's what you know. (ever consider that your friends are being paid by the organizations you mention?) You are accusing me of what you are actually doing (alarmist). Old trick. Don't be so gullible. Especially not in health care. sure, there are people there for the right reasons, but plenty are there to make money off of you. and they use front organizations to recommend the use of their products...some of them aren't that good.

      February 14, 2011 at 20:32 | Report abuse |
    • Lotsaluck

      Yeah, yeah, it's all a huge plot. Booga, booga, booga. Moron.

      February 14, 2011 at 23:06 | Report abuse |
  5. glen

    Depending on the cost difference this may or may not be a big deal. If the costs are relatively close it is great because it will decrease the number of false negatives resulting in fewer expensive and/or painful tests (biopsies,etc...)

    February 14, 2011 at 00:12 | Report abuse | Reply
  6. Jeff

    I would not want Certified Holly Lucille to diagnose me or anyone I cared about, if she can't read and understand an article relating to her field correctly. I am glad she so proudly posted all her writings and such, so we can avoid them.

    February 14, 2011 at 04:28 | Report abuse | Reply
  7. Tara

    a few years back i got to be a patient in this study, i was in my early 20's and had found an abnormal lump in my breast. it was explained to me that this system helped younger breasts that had denser tissue. this on top of the fact that my mother past away from breast cancer means i have to be checked regularly. i am very happy to have this technology out there, anything that can help with diagnosis is 100% worth it to me.

    February 14, 2011 at 06:55 | Report abuse | Reply
    • BadPatient

      as long as it catches it. i had the case where i had the disease, but it missed it. not operator error. i weighed around 124 pounds so dense tissue (their favorite excuse) shouldn't have been an issue. interesting to me that they got a test that throws false negatives into the guidelines.

      February 14, 2011 at 20:38 | Report abuse |
    • Lotsaluck

      What does weighing 124 lbs have to do with anything? I'm not heavy and I do have dense breast tissue. It has nothing to do with weight. Really, Bad, you're just angry because a test wasn't infallible. Do you know of many that are?

      February 14, 2011 at 23:08 | Report abuse |
    • BadPatient

      no. i just have higher expectations for health care than you do. you are settling for lousy health care. i'm not. they were wrong every step of the way for me. not just here, but many, many years of absolutely lousy information. lead down the wrong path...often by front organizations. you're nuts to believe these people. but its your life. do as you please.

      February 14, 2011 at 23:43 | Report abuse |
    • Jabberwocky

      "Fronts"? What, you think this is like the Mafia? Hahahhahha! What a pea-brain.

      February 15, 2011 at 09:24 | Report abuse |
    • Lotsaluck

      You didn't answer my question, BP, but I'm not surprised. You didn't even know that dense breast tissue has little to do with body weight. You don't even know what you're talking about.

      February 15, 2011 at 09:25 | Report abuse |
  8. jradxit

    This technique is called tomosynthesis and is meant to be used as a replacement for standard mammography rather than as an adjunct, so there is only a tiny amount of additional radiation relative to standard digital mammography. However, 7% additional cancer detection is really only a marginal improvement over standard mammography even though it sounds impressive because in reality this may not translate into any significant improvement in clinical outcomes. This comes at a cost of a significant increase in the interpretation time for this examination. This means the examation will be markedly more expensive and that the current supply of radiologist mammographers will not be sufficient and the exam will be much more costly. I believe that the current state of the art in MRI (most studies of breast MRI are from 1990's and 2000's) is much more sensitive and specific than either mammographic technique and in a perfect world would be the screening modality of choice though it has the same problems of expense and interpretation time.

    February 14, 2011 at 13:00 | Report abuse | Reply
    • Lotsaluck

      Thanks, jradxit. That's what I was trying to ascertain.

      February 14, 2011 at 16:30 | Report abuse |
    • BadPatient

      i would lean toward that also. not sure about radiation risk there. ultrasound caught mine. they could see the blood supply. enough to get them to biopsy. mammogram completely missed it.

      February 14, 2011 at 20:41 | Report abuse |
    • maryLand

      So it caught yours and you're still alive to complain about doctors and medicine. Gee, who'd a thunk it?

      What "lousy health care"! Good thing it's so terrible-otherwise, you'd be in the ground, and then what? You'd have no hobby at all.

      February 15, 2011 at 09:37 | Report abuse |
  9. OhPeopleWakeUp

    a stacked image is going to give better depth than a 2d image. Yes, it will be more expensive at first, and yes, people have to be trained to both give and interpret them correctly but get over it, idiots, as someone in the IT profession, it's full-steam ahead for any technological advances and there's nothing that is going to stop it.

    Cost and learning new techniques will not be an excuse to not move forward. A better image is a better image. Eventually the old mammograms will be archaic and discontinued and the world will move on. As a programmer, I can already see an app that goes out and scans the stacked images, red-flags according to a pre-set list of updateable, programmed criteria and pass it on to a doctor. And, before you all freak out, I'm not saying REPLACE the doctor, I'm saying something that can ADD to what the doctor will look at, and can do it in nanoseconds. It's coming and don't think for one moment it's not and any other developer out there knows dammed well it's true.
    Ang

    February 14, 2011 at 16:34 | Report abuse | Reply
    • notation

      Cost WILL be a factor if the new technology is not shown to improve outcome. Medicare is facing huge increases in the cost of mammograms because everyone now uses digital technology in spite of the fact that it doesn't improve the outcome for patients.

      February 14, 2011 at 17:52 | Report abuse |
    • midorie

      Done, it's called Computer Aided Detection (CAD) which uses algorithms on flat images to spot masses or other problems. I imagine it'd be possible to scale the program so that it reads each slice individually and then checks for changes across slices.

      February 14, 2011 at 18:31 | Report abuse |
    • BadPatient

      do we need doctors anymore?

      February 14, 2011 at 20:46 | Report abuse |
    • notation

      Gee, I don't know, Bad. Why don't you live without any medical care and get back to the rest of us who have more sense than God gave a turnip. You aren't even making sense in most of your posts. You think that your cancer "should have been caught" earlier. Guess what? That isn't the way things always go, and it doesn't mean medicine is bad. It means it isn't perfect. Shocker! What's the alternative? Got something better? I thought not.

      February 15, 2011 at 09:28 | Report abuse |
  10. NoMore

    Twice the radiation? At what cost? And I'm not talking just money. Digital mammograms are now finding cancers which are "stage 0" which means it isn't really cancer because it's not growing and which has a high chance of disappearing on its own or never progressing. Doctors, however, can't leave it alone–they want surgery, radiation treatments, and chemotherapy to "cure it". No thanks.

    February 14, 2011 at 17:10 | Report abuse | Reply
  11. Healthy Tips

    Great site and thanks for the info

    August 13, 2011 at 19:11 | Report abuse | Reply
  12. Truth About Abs By Abmaster

    There are so many diet plans on the market today, and each has its own benefits and drawbacks. Some are better than others and have higher levels of success, but each has different methods for achieving that success. Today we'll talk about one of the most popular diet plans available today and whether or not it's worth investing in.

    January 4, 2012 at 18:12 | Report abuse | Reply
  13. Mouthwash|Saliva Mouthwash}

    This post is just what I call a well thought out posting. Clear as well as the point. I am going to certainly watch out for more material such as this.

    http://www.passdrugtestsfast.com/saliva-drug-test-products##{Magnum

    July 21, 2015 at 18:42 | Report abuse | Reply
  14. Laurence Sagi

    Bonsoir, Merci pour votre article. Je presente mon beta web-site diffusant les annonces immobilières Espagnoles des banques http://www.foreclosure-spain.com. Le site présente les offres de Banco Sabadelle, BBVA, Santander et Sareb .Espagne acheter un bienEn Espagne, le prix de l'immobilier baisse et attire dans toutes les régions. thank you pour vos commentaires et happy day.

    http://www.foreclosure-spain.com/

    September 14, 2015 at 04:05 | Report abuse | Reply
  15. Test|Detox Option}

    Excellent entry. Among the best I've come upon.

    http://www.syntheticurinereviews.com.au##{Drug

    September 14, 2015 at 09:43 | Report abuse | Reply

Post a comment


 

CNN welcomes a lively and courteous discussion as long as you follow the Rules of Conduct set forth in our Terms of Service. Comments are not pre-screened before they post. You agree that anything you post may be used, along with your name and profile picture, in accordance with our Privacy Policy and the license you have granted pursuant to our Terms of Service.

Advertisement
About this blog

Get a behind-the-scenes look at the latest stories from CNN Chief Medical Correspondent, Dr. Sanjay Gupta, Senior Medical Correspondent Elizabeth Cohen and the CNN Medical Unit producers. They'll share news and views on health and medical trends - info that will help you take better care of yourself and the people you love.